ВНИМАНИЕ! Ведутся работы по обновлению расписания автобусов

Процент заболевания высок

Администратор, 29 марта, 2012

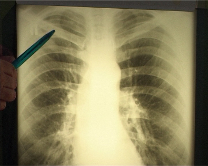
Ежегодно 24 марта в мире по инициативе Всемирной организации здравоохранения (ВОЗ) проводится Всемирный день борьбы с туберкулезом. Именно в этот день в 1882 году в Берлине доктор Роберт Кох объявил об открытии этой страшной болезни, которая до сих пор угрожает каждому из нас. Ситуация с распространением туберкулеза в Ирбите неблагоприятная, процент заболевания очень высок, сообщили нам врачи-фтизиатры.

Ирбит разделен на два фтизиатрических участка. Они повторяют границы частей старого и нового города. 16 тысяч человек проживает на первом участке, в районе старого города, и 19 тысяч 200 человек живет на втором участке. В него входит район мотозавода и микрорайон Комсомольский. Если сравнить уровень заболеваемости туберкулезом по Ирбиту, то выяснится, что возбудитель туберкулеза - палочка Коха хорошо развивается в старом жилом фонде, где отсутствуют такие блага цивилизации как отопление, холодная и горячая вода, канализация.

Уровень заболеваемости туберкулезом в Ирбите равен среднеобластным показателям. Ирбит, являясь центром Восточного управленческого округа, считается самым благополучным в этом плане. Гораздо хуже обстоят дела в глубинке: Туринске, Тавде, Таборах. За последние десятилетия численность населения Ирбита и Ирбитского района начала стремительно уменьшаться. Кривая заболеваемости, наоборот, поднялась вверх. В прошедшем 2011 году в Ирбите было выявлено 46 больных туберкулезом. Среди них 41 взрослый, четверо детей и один подросток.

Как говорят врачи-фтизиатры, неблагополучную ситуацию по туберкулезу можно изменить. Достаточно проводить стопроцентное флюорографическое обследование всего населения. Ведь только на ранних стадиях туберкулез хорошо лечится.

Туберкулез передается воздушно-капельным путем. Больной открытой формой туберкулеза ежегодно может заразить от 10 до 15 человек. В основном поражаются неблагополучные слои населения. И когда иммунитет у организма ослаблен. Только комплексный подход к проблеме может понизить высокий уровень заболеваемости, считают врачи-фтизиатры.

Надежда Долматова
Стоп-кадр Константин Бедских

Рубрика
Теги
туберкулез